- an interactive version of this book is available here
- back to Table of Contents - The Zebrafish in Toxicology
Reproduction - Testis
Normal Histology
spermatogenesiscysts with successive stages of spermatogenesis in a seminiferous tubule | |||
| H&E | Putt's carbol fuchsin as a marker of spermatogenic maturation |
||
|
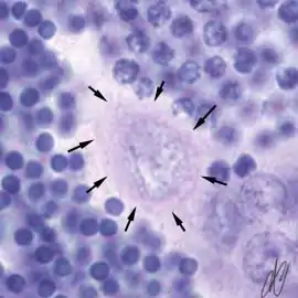
1. spermatogonium A (SgA) [arrows]: large single cell, with a large hypochromatic nucleus; early spermatogenic stages do not stain with Putt's carbol fuchsin. SgA divides mitotically to renew itself and to produce: |
|
|
|
|
2. early spermatogonium B (eSgB) [arrows]: morphologically indistinct from SgA, appears in clusters of 2-4 cells. Note a single Sertoli cell [red arrows], which are only occasionally observed; on the other hand, Sertoli cells are prominent after exposure to androgen or anti-androgen. |
|
|
|
|
3. early spermatogonium B (eSgB) [arrows in left image]: morphologically indistinct from SgA, appears in clusters of 2-4 cells; there is moderate mitotic activity in spermatogonium B, as indicated by PCNA immunostaining [arrows in right image]; in contrast, there is only very light PCNA immunostaining in the single spermatogonium A cell [red arrows in right image]. Early SgB divide mitotically to produce: |
|
|
|
|
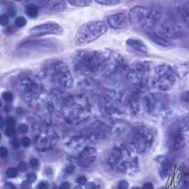
4. late spermatogonium B: smaller than early SgB, clusters >4 cells [arrows in left image]; there is high mitotic activity, as indicated by the strong PCNA immunoreactivity [arrows in right image]. |
|
|
|
|
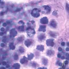
5. late spermatogonium B: clusters >4 cells [arrows]. Late SgB divides to yield smaller primary spermatocytes. Primary spermatocytes undergo meiosis, which consists of DNA duplication (yielding tetraploid cells: two copies of each chromosome, each copy consisting of two sister chromatids), genetic recombination, and two maturation divisions. The product of the first maturation division are secundary spermatocytes (diploid: one copy of each pair of chromosomes, consisting of two sister chromatids), the second maturation division yields spermatids (haploid). The first maturation division takes days, and therefore the successive stages of this division can easily be discerned: |
|
|
|
|
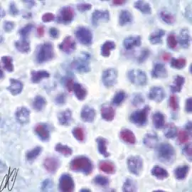
6. spermatocyte, leptotene stage of meiotic prophase ("threadlike" appearance of chromosomes). |
|
|
|
|
7. spermatocyte, leptotene stage of meiotic prophase, progressing to the zygotene stage; Note that there is staining with Putt's carbol fuchsin from this stage on, although still faint here. |
|
|
|
|
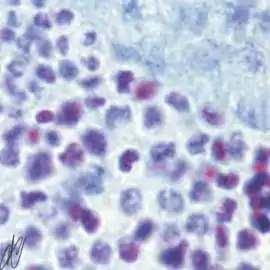
8. spermatocyte, zygotene stage of meiotic prophase ("bouquet" configuration of chromosomes) |
|
|
|
|
9. spermatocyte, zygotene stage of meiotic prophase ("umbrella" configuration of chromosomes). |
|
|
|
|
10. pachytene primary spermatocytes; in this stage, there is longitudinal contraction of the chromosomes, and the chromatin strands have a coarse appearance. |
|
|
|
|
11. dividing primary spermatocytes (diplotene stage); the metaphase, anaphase, and telophase of the first meiotic division (respectively equatorial arrangement of chromosomes, movement to cell poles, and actual division of the cell) are completed quickly, and are therefore only present briefly. The daughter cells of the first meiotic division are known as secundary spermatocytes (diploid). The second meiotic division is also completed quickly, and therefore secundary spermocytes are neither easily discernible. The resulting cells of the second meiotic division are: |
|
|
|
|
12. spermatids (haploid). |
|
|
|
|
13. spermatids. |
|
|
|
|
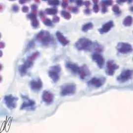
14. mature spermatozoa are released from open spermatocysts into the lumen of the tubules (spermiation). |
|
|
|



























