Diagnostic Radiology/Musculoskeletal Imaging/Tumors Basic/Osteosarcoma
Osteosarcoma is the most common malignant primary bone tumor. Osteosarcoma tends to occur in children and young adults typically 10-25 or 30 years of age. Osteosarcomas also tend to occur in patients in the sixth decade, likely related to malignant degeneration of Paget's disease. It is said that they tend to occur most often towards the end of long bones in the metaphyseal region but they can also arise in the diaphysis and there is enough variation that this parameter is not terribly helpful in differentiation. A typical osteosarcoma is destructive with associated sclerosis from either malignant bone formation or reactive sclerosis. There are multiple types of osteosarcoma. The most common of which is the Conventional Osteosarcoma which accounts for 75% of cases. Conventional osteosarcoma is typically located around the knee and is a very aggressive lesion associated with a soft tissue mass, cortical destruction, a permeative pattern of bone change. Most demonstrate some degree of osteoid matrix. Conventional osteosarcomas commonly arise in the metadiaphysis but regularly (75%) cross the physis to involve the epiphysis. The distal femur and proximal tibia are the bones most commonly involved, followed by the humerus and iliac wing. They have a rapid doubling rate, are often large when discovered and are aggressive in appearance. Lesions are typically permeative with a wide zone of transition. Cortical breakthrough can be seen typically with a large soft tissue mass. Periosteal reaction typically presents with a Codman’s triangle or sunburst pattern. At least 90% of conventional osteosarcomas produce osteoid matrix in variable quantities which alters their radiographic appearance. Lesions that are dense appear low in signal on T1 and T2 sequences and if they are less dense, typically will be low signal on T1 and higher signal on T2 imaging.
Expansile mass centered in the femur with extensive osteoid matrix and cortical destruction
Fig. 1 X-ray and CT demonstrate expansile mass centered in the femur with extensive osteoid matrix and cortical destruction.
Differential is quite short with a typical conventional osteosarcoma and includes Ewing's sarcoma. Metastases are said to occur in up to 10-20% of patient’s at clinical presentation and hematogenous spread to lungs or bones and lymphatic local spread are typical.
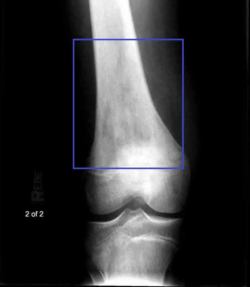
Intramedullary osteosarcoma of distal femur Intramedullary osteosarcoma of distal femur
Fig. 2 AP and lateral view of knee showing intramedullary osteosarcoma of distal femur.
AP pelvis shows marked sclerosis of the left ilium and a large, sclerotic soft tissue mass CT demonstrates the sunburst or explosive dense osteoid matrix emanating from the ilium MRI shows the large heterogeneous soft tissue mass
Fig. 3 AP pelvis shows marked sclerosis of the left ilium and a large, sclerotic soft tissue mass. CT demonstrates the sunburst or explosive dense osteoid matrix emanating from the ilium and MRI shows the large heterogeneous soft tissue mass.
Types
Parosteal Sarcoma
Parosteal osteosarcoma is the 2nd most common type of osteosarcoma. 80% occur between the ages of 20 and 50. They are commonly found at the distal femoral metaphysis, posteriorly, less commonly in the proximal tibia and humerus. Parosteal osteosarcoma arises from the surface of the bone and is seen as a soft tissue mass often growing around the bone of origin. The osteoid matrix is typically more mature and densely sclerotic, especially centrally. MRI appearance is variable depending on the amount of osteoid formation, cellularity and presence of cartilage, usually appearing quite heterogeneous. If there is little cellularity and cartilage the lesion will be lower signal intensity. They are low grade tumors and grow slowly, but with recurrence can become more aggressive. Metastases are less common than with conventional osteosarcoma but can metastasize to the lung. Differential includes myositis ossificans, cortical desmoid tumor and osteochondroma. Myositis ossificans is typically more dense peripherally rather than centrally, helping in differentiation. Osteochondroma has more normal appearing marrow and cortical bone.
Parosteal sarcoma arising from the posterior margin of the femur with a large soft tissue mass and dense osteoid matrix Parosteal sarcoma arising from the posterior margin of the femur with a large soft tissue mass and dense osteoid matrix Parosteal sarcoma arising from the posterior margin of the femur with a large soft tissue mass and dense osteoid matrix
Fig. 4 Parosteal sarcoma arising from the posterior margin of the femur with a large soft tissue mass and dense osteoid matrix.
Telangiectatic Osteosarcoma
Telangiectatic osteosarcoma is a rare variant that present as an entirely lytic bone lesion with a much less aggressive appearance. Typical age is 10–25 years of age and lesions commonly occur in the metadiaphysis of long bones, similar to conventional osteosarcoma. Lesions are more geographic but portions of the mass can have a wide zone of transition and cortical breakthrough with a soft tissue mass. Lesions are highly vascular, partly necrotic and often have large pools of blood within them with soft tissue peripherally and along septa. Leading to an MRI appearance with internal septa, fluid fluid levels, peripheral heterogeneity. Telangiectatic osteosarcoma commonly enhances. Differential includes aneurysmal bone cyst and giant cell tumor.
Periosteal Osteosarcoma
Periosteal osteosarcoma are more rare than conventional or parosteal osteosarcoma and arises from the surface of the bone, most commonly in diaphyses of femur and tibia. Age of presentation is typically 10–20 years of age. Scalloping of the adjacent cortex is common and there are often spicules of bone emanating from the lesion in a sunburst pattern. Also seen commonly is periosteal reaction. Intramedullary invasion and extension is uncommon. MRI signal is typically not helpful (low T1 and high T2.) Spicules of bone emanating in sunburst pattern tend to be low T2 in signal. Differential includes juxtacortical chondroma and high-grade surface osteosarcoma.
High Grade Surface Osteosarcoma
Rare subset of osteosarcoma similar to periosteal subtype commonly occurs in the diaphyses and is more often associated with intramedullary invasion. Low Grade Intraosseous Osteosarcoma Rare entirely intraosseous tumor that is quite variable in appearance and can occur in the diaphyses or metadiaphyses. Age- <30 Soft Tissue Osteosarcoma Another rare form of osteosarcoma found most commonly in the thigh, upper extremity or retroperitoneum. Masses have variable amounts of mineralized osteoid.
Osteosarcoma in older patients (>60)
Osteosarcomas in older patients can be primary lesions but around 50% are thought to arise in pre-existing lesions like Ewing's sarcoma, dedifferentiated chondrosarcoma or previously irradiated tissues. Most lesions are entirely lytic and can occur in the facial bones, axial skeleton and in the soft tissues. Appearance varies greatly with origin.
Imaging Workup
Typical imaging of any suspected osteosarcoma should include a PA and lateral view of the chest to help rule out metastatic lesions. Specific imaging of the lesion should include X-ray - Plain films of the lesion in question or affected anatomy.
- CT Scan - Better evaluates the bone lesion and soft tissue involvement. CT of the chest may be performed to improve sensitivity for detection of pulmonary metastasis.
- MRI - MRI of primary lesion best evaluates the intramedullary extension and the extent of soft tissue involvement. Additionally, MRI is the most sensitive modality for detection of skip lesions or local metastases. MRI is much more accurate for determination of surgical margins than CT.
- Bone Scan - Helpful to detect metastatic lesions.
Treatment
Treatment is usually performed with both chemotherapy and primary resection. Prior to chemotherapy administration, up to 80% of patients treated with surgical excision of primary tumor developed pulmonary metastases. Postoperative, adjuvant chemotherapy is now standard of care. Surgical excision of primary lesion remains the primary treatment modality.
MRI is important for defining the surgical margins especially in the bone marrow. Surgical margins of ~6 cm from the edge of abnormal MRI signal are considered adequate. The margins are much less extreme in the soft tissues. Surgical excision of pulmonary metastases is typically via wedge resection. Follow up imaging - Imaging protocols vary but are often done at 3 months for the first year then at 6 months for the next year or two. After the first two or three years it is common to continue with annual MRI. Additional imaging would of course be dictated by changing symptoms.
References
- Osteosarcoma by Todd Kooy, M.D., University of Washington Department of Radiology
- Treatment of Osteosarcoma (cancer.gov)
- Wikipedia Listing for Osteosarcoma
- Murphey MD, Robbin MR, MacRae GA, Flemming DJ, Temple HT, Kransdorf MJ. The many faces of osteosarcoma. RadioGraphics 1997;17(5).
- Osteosarcoma (Emedicine)