Internal Medicine/Peripheral Blood Smears

  • Normal blood smear

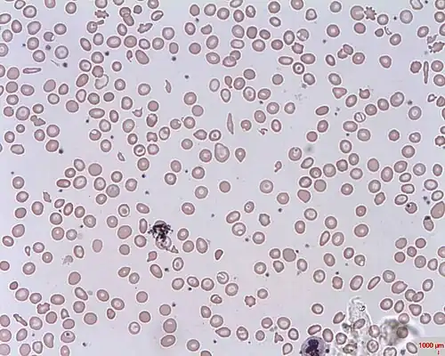
  • Iron-deficiency Anemia

  • Polychromatophilia

  • Macrocytosis

  • Hypersegmented neutrophils

  • Spherocytosis

  • Rouleaux formation

  • Red cell agglutination

  • Sickle cells

  • Target cells

  • Elliptocytosis

  • Stomatocytosis

  • Acanthocytosis

  • Howell-Jolly bodies

  • Teardrop cells

  • Nucleated red blood cells

  • Lead poisoning

  • Pelger-Hüet anomaly