Aggressive digital papillary adenocarcinoma
| Aggressive digital papillary adenocarcinoma | |
|---|---|
| Other names | Digital papillary adenocarcinoma and papillary adenoma[1] |
| Digital papillary adenocarcinoma or aggressive digital papillary adenoma | |
| Specialty | Dermatology/Oncology |
Aggressive digital papillary adenocarcinoma, also known as digital papillary adenocarcinoma and papillary adenoma is a cutaneous condition characterized by an aggressive malignancy involving the digit between the nailbed and the distal interphalangeal joint spaces.[2]: 670 Genetic studies reveal that human papilloma virus HPV42 is the likely driving virus in this cancer.[3]
Signs and symptoms
Aggressive digital papillary adenocarcinoma typically appears as a painless solitary mass on the plantar surface of the feet or palmer surface of the hands.[4]
Diagnosis
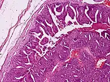
Histologically, the tumor exhibits a mixed tubuloalveolar and papillary pattern, focal squamous metaplasia, fibrocollagenous stroma, and a grenz zone.[5] In situ hybridization for HPV42 DNA may help in differentiating this cancer from related tumors.[6]
The sweat gland adenoid cystic carcinoma, mucinous eccrine carcinoma, and apocrine adenocarcinoma are included in the differential diagnosis.[7]
Treatment
As a first-line surgical strategy, wide local excision with clear resection of margins is advised rather than proximal amputation, and there is currently insufficient evidence to justify the routine use of adjuvant chemotherapy or radiotherapy.[4]
Epidemiology
Aggressive digital papillary adenocarcinoma primarily affects men and is usually diagnosed between the ages of 50 and 70.[8]
See also
References
- ↑ Rapini, Ronald P.; Bolognia, Jean L.; Jorizzo, Joseph L. (2007). Dermatology: 2-Volume Set. St. Louis: Mosby. ISBN 978-1-4160-2999-1.
- ↑ James, William D.; Berger, Timothy G.; et al. (2006). Andrews' Diseases of the Skin: Clinical Dermatology. Saunders Elsevier. ISBN 0-7216-2921-0.
- ↑ Leiendecker, Lukas; Neumann, Tobias; Jung, Pauline S.; et al. (2023). "Human Papillomavirus 42 Drives Digital Papillary Adenocarcinoma and Elicits a Germ Cell-like Program Conserved in HPV-Positive Cancers". Cancer Discovery. 13: 70–84. doi:10.1158/2159-8290.CD-22-0489. PMC 9827110. PMID 36213965.
- 1 2 Jabbour, Austin J.; Tangoren, Ibrahim A.; Kanik, Andrew B. (2021-08-06). "Digital Papillary Adenocarcinoma: Case of a Rare Malignant Cutaneous Tumor of the Eccrine Sweat Gland". Case Reports in Dermatology. 13 (2): 422–427. doi:10.1159/000518442. ISSN 1662-6567. PMC 8436639. PMID 34594201.
- ↑ Jih, Debra M.; Elenitsas, Rosalie; Vittorio, Carmela C.; Berkowitz, Allen R.; Seykora, John T. (2001). "Aggressive Digital Papillary Adenocarcinoma". The American Journal of Dermatopathology. 23 (2). Ovid Technologies (Wolters Kluwer Health): 154–157. doi:10.1097/00000372-200104000-00014. ISSN 0193-1091. PMID 11285414.
- ↑ Vanderbilt, Chad; Brenn, Thomas; Moy, Andrea P.; Harloe, Gordon; Ariyan, Charlotte; Athanasian, Edward; Busam, Klaus J. (2022). "Association of HPV42 with digital papillary adenocarcinoma and the use of in situ hybridization for its distinction from acral hidradenoma and diagnosis at non-acral sites". Mod Pathol. 35 (10): 1405–1410. doi:10.1038/s41379-022-01094-8. PMID 35538210.
- ↑ Kraus, Armin; Altmann, Silke; Damert, Hans-Georg; Infanger, Manfred; Klausenitz, Stephanie (2015). "Aggressive digital papillary adenocarcinoma – a rare malignant tumor of the sweat glands: two case reports and a review of the literature". Clinical, Cosmetic and Investigational Dermatology. 8. Informa UK Limited: 143–146. doi:10.2147/ccid.s71323. ISSN 1178-7015. PMC 4386778. PMID 25848311.
- ↑ Kasimo, Betty A.; Akello, Vivian; Yahaya, James J. (2021). "Digital papillary adenocarcinoma: A case report". Clinical Case Reports. 9 (9). Wiley. doi:10.1002/ccr3.4814. ISSN 2050-0904. PMC 8436734. PMID 34532052.
Further reading
- Kao, G. F.; Helwig, E. B.; Graham, J. H. (1987). "Aggressive digital papillary adenoma and adenocarcinoma. A clinicopathological study of 57 patients, with histochemical, immunopathological, and ultrastructural observations". Journal of Cutaneous Pathology. 14 (3). Wiley: 129–146. doi:10.1111/j.1600-0560.1987.tb00488.x. ISSN 0303-6987. PMID 3301927.
- Carter, Kristen; Yao, Jie J.; Melton, Shelby D.; Lopez, Jorge; Huerta, Sergio (2015-05-01). "Digital Papillary Adenocarcinoma: Presentation, Natural History and Management". Rare Tumors. 7 (2). SAGE Publications: 92–95. doi:10.4081/rt.2015.5867. ISSN 2036-3613. PMC 4508647. PMID 26266016.
- Starrett, GJ; Schiller, JT; Lowy, DR (2023). "HPV42, a "Low-Risk" Type, and Digital Papillary Adenocarcinoma". Cancer Discovery. 13 (1): 17–18. doi:10.1158/2159-8290.CD-22-1150. PMID 36620882.