Chronic intestinal pseudo-obstruction
| Chronic intestinal pseudo-obstruction | |
|---|---|
| Other names | CIPO |
![]() | |
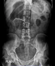
| X-ray showing distended stomach and bowel loops. Dilated bowel loops are a characteristic of chronic intestinal pseudo-obstruction. | |
| Specialty | Gastroenterology |
| Symptoms | Abdominal pain, bloating, and distension.[1] |
| Duration | Chronic.[1] |
| Causes | Neurologic, paraneoplastic, autoimmune, metabolic/endocrine, genetic, or infectious diseases.[1] |
| Diagnostic method | Clinical features and exclusion of mechanical obstruction.[1] |
| Treatment | Dietary modification and management of symptoms.[2] |
| Frequency | 0.80 to 1.00 per 100,000.[1] |
Chronic intestinal pseudo-obstruction (CIPO) is a very rare syndrome with chronic and recurrent symptoms that suggest intestinal obstruction in the absence of any mechanical blockage of the lumen.[3] The most common symptoms of CIPO include abdominal pain, constipation, nausea, vomiting, dysphagia, and abdominal distention. CIPO can lead to malnutrition.
Chronic intestinal pseudo-obstruction can be caused by a variety of other disorders or it can be idiopathic. Certain genetic disorders can also cause CIPO. Mechanisms behind CIPO include abnormalities in the smooth muscle cells, interstitial cells of Cajal (ICCs), and intrinsic and extrinsic neurons.
The diagnosis of CIPO is made based on clinical symptoms and radiographic studies. Abdominal X-rays, CT scans, endoscopies, laboratory tests, and biopsies may be used to make the diagnosis of CIPO. Treatment involves ensuring adequate nutrition and managing the symptoms of CIPO. Enteral or parenteral nutrition may be needed to maintain proper nutrition. Analgesics, antiemetics, antisecretory, antispasmodics, prokinetic agents, laxatives, or antidiarrheal medications may be used to help manage the symptoms of CIPO. The long-term prognosis for CIPO is poor. Patients often require parenteral nutrition due to their symptoms. The mortality rate for pediatric CIPO patients ranges from 10-25% before adulthood.
"Intestinal pseudo-obstruction" is a broad term that refers to any paralysis of the intestines that is not caused by a mechanical obstruction. Ogilvie syndrome is an acute form of intestinal pseudo-obstruction.[4]
Signs and symptoms
Symptoms of chronic intestinal pseudo-obstruction can vary depending on which segment of the gastrointestinal tract is most involved and may evolve as the disease progresses.[3] Patients may experience varying degrees of symptoms or be asymptomatic in between sub-occlusive episodes. Chronic intestinal pseudo-obstruction typically develops gradually over years, with gastrointestinal symptoms of increasing severity sometimes occurring years before the first sub-occlusive episode; less frequently, the onset occurs suddenly, with the patient presenting with a sub-occlusive episode.[5]
Patients with chronic intestinal pseudo-obstruction that involves the small bowel commonly present with symptoms such as constipation, abdominal pain, nausea, and vomiting.[6] Diarrhea may result from bacterial overgrowth brought on by small bowel dysmotility-induced stasis.[3]
In patients with primarily gastric involvement, postprandial bloating, early satiety, pain in the abdomen, nausea, and vomiting may be present along with significant gastroparesis.[7]
Dysphagia or symptoms of gastroesophageal reflux disease are seen in patients with esophageal involvement, while abdominal distension and constipation are signs of colonic involvement.[3]
Complications
Patients with chronic intestinal pseudo-obstruction often experience debilitating symptoms that result in nutrition compromise as well as the need for central parenteral nutrition.[8] According to estimates, between 30% and 50% of adult patients with chronic intestinal pseudo-obstruction will eventually need parenteral nutrition,[9] and up to two-thirds of patients experience some form of nutritional deficiency.[10]
Causes
Pseudo-obstruction in adults is a rare disorder that can have primary or secondary causes. Adult pseudo-obstruction's most frequent secondary causes include radiation enteritis, amyloidosis, paraneoplastic syndromes, hypothyroidism, usage of substances with anticholinergic or narcotic effects, diabetes, scleroderma, and other connective tissue disorders.[3]
Recently, viral infections such as Epstein-Barr virus,[11] Herpes Zoster, and Cytomegalovirus have drawn attention as potential causes of pseudo-obstruction.[12]
It's been demonstrated that pseudo-obstruction is caused by mitochondrial diseases. An occult neoplasm may be the target of an immune response resulting in severe intestinal dysmotility. Of all the cancers linked to pseudo-obstruction, small-cell lung carcinoma is the most prevalent.[13]
However, in many cases, the symptoms of pseudoobstruction have no known cause; these patients are diagnosed with chronic idiopathic intestinal pseudo-obstruction.[3]
Genetics
There have also been reports of uncommon familial chronic intestinal pseudo-obstruction forms.[14] There have been reports of X-linked, autosomal recessive, and syndromic autosomal dominant forms of chronic intestinal pseudo-obstruction. The Xq28 region has been mapped to an X-linked locus.[5][15]
Mechanism
Abnormalities in the gastrointestinal control systems, including smooth muscle cells, interstitial cells of Cajal (ICCs), and intrinsic and extrinsic neurons, can all contribute to the severe motor derangement seen in CIPO patients.[16][5] Neuro-ICC-muscular anomalies in CIPO might be related to known diseases or idiopathic if no associated disorder is present. Furthermore, certain cases of CIPO exhibit syndromic manifestations and familial clustering, implying a genetic basis.[17]
Gut dysmotility is mostly caused by damage to the enteric nervous system, both structurally and functionally.[18] The enteric nervous system is highly sophisticated and can govern almost all gastrointestinal activities, including motility, independently of the central and peripheral neurological systems.[19][5]
Enteric neuropathies may share pathogenetic processes with central nervous system neurodegenerative illnesses due to their close similarities.[19] Neurodegenerative pathways involve altered calcium signaling, mitochondrial failure, and free radical generation.[20]
Patients with CIPO have reported alterations in the ICC network.[21] Electron microscopy and/or KIT immunolabelling, along with confocal microscopy and image analysis, revealed a decrease in ICCs and structural abnormalities, including process loss and damage to the intracellular cytoskeleton and organelles. Significant changes in the ICC enteric network highlight the important involvement of nonneuronal cells in regulating gut motility.[22][23]
Diagnosis
The diagnosis of CIPO is mostly clinical, backed by radiographic documentation of dilated bowel with air-fluid level after exclusion of organic lesions obstructing the gut lumen, as determined by radiologic and/or endoscopic examinations. Thus, diagnostic investigations in patients with suspected CIPO are required to rule out mechanical blockage, identify possible sources of secondary forms, investigate underlying pathophysiological mechanisms, and reveal potential consequences.[24]
In order to look into possible intestinal obstruction, radiologic examinations are essential. Simple and cheap to perform, plain film x-rays can show the traditional indicator of air-fluid levels and dilated bowel loops, which is best seen in the erect film.[25] Abdominal x-rays, however, are unable to definitively differentiate between genuine mechanical intestinal obstruction and pseudo-obstruction.[26] Afterwards, additional information is obtained by abdominal computed tomography (CT) imaging in order to rule out an extraluminal, gut wall, or intraluminal mechanically obstructive lesion.[25]
Endoscopy's primary function in CIPO is to rule out mechanical obstructions in the foregut while also making it easier to get biopsies in order to rule out celiac disease.[27] Colonoscopy is not usually necessary for the diagnosis of CIPO; however, in certain cases, it may be done for therapeutic decompression.[28]
Identification of secondary forms of CIPO associated with potentially treatable disorders can be facilitated by laboratory testing.[17] As a result, tests should be performed for serum glucose, thyroid-stimulating hormone, albumin, liver enzymes, vitamin B12, total blood count, and inflammatory markers (such as C-reactive protein and erythrocyte sedimentation rate).[3] Patients with paraneoplastic syndrome should have their circulating antineuronal antibodies, such as ANNA-1/anti-Hu, identified.[29][30]
Antroduodenal manometry is a useful tool for figuring out the pathogenesis of CIPO symptoms.[31] The amplitude of contractions as well as the temporal and geographical structure of phasic contractions are evaluated by antroduodenal manometry. Enteric neuromuscular function is intact when normal patterns are present, such as the migrating motor complex during fasting and a shift to the postprandial motility pattern after a test meal. Manometry is important to distinguish between two conditions: neuropathy, in which contractions maintain normal amplitude but are uncoordinated and lack normal physiologic patterns, and myopathy, in which contraction amplitude is diminished but spatial and temporal organization is retained.[32]
Treatment
Treatment of CIPO is difficult. Following diagnosis, treatment goals should include preventing needless surgery, reestablishing electrolyte and fluid balance, enhancing nutritional status, managing infections, and reducing pain, nausea, vomiting, and bloating symptoms. If an underlying illness is the cause of CIPO, it should also be promptly addressed.[27]
Maximizing oral intake is often recommended. Making up for any nutritional deficiencies should be the first step in any dietary treatment plan. Patients should be urged to eat small, frequent meals (five to six times a day), emphasizing protein and liquid calories, and to stay away from high-fiber and fat items.[27]
Enteral feeding needs to be the next option if food intake is insufficient to meet nutritional needs. An enteral formula at goal rate can be used to finish a nasogastric or nasojejunal feeding trial prior to the implantation of a permanent feeding tube.[33] Permanent enteral access may be inserted if it is tolerated without causing severe discomfort. It is usually recommended to bypass the stomach and feed directly into the small intestine if delayed gastric emptying is evident.[27]
In patients with CIPO, parenteral nutrition is generally avoided unless enteral intake is insufficient to meet nutritional needs. This is because parenteral nutrition has been linked to pancreatitis, thrombus formation, cellulitis, sepsis, and nonalcoholic fatty liver disease, which can progress to fibrosis and cirrhosis.[34] Unfortunately, because to the degenerative nature of the condition and the absence of viable treatments, many CIPO patients may eventually need parenteral nutrition.[27] When receiving parenteral nutrition, patients should be encouraged and advised to consume as much oral food as they can tolerate.[34]
The pharmaceutical treatment of CIPO aims to regulate symptoms and prevent complications. It is frequently necessary to co-prescribe analgesics, antiemetics, antisecretory, antispasmodics, laxatives, or antidiarrheal medications. Prokinetics are frequently used in an effort to regulate visceral sensitivity and enhance gastrointestinal motility.[24]
Outlook
CIPO typically progresses over time. Patients may experience symptom-free intervals followed by periods of severe symptoms that require emergency room visits and hospitalizations.[27] According to one study, only 11% of people with CIPO experience asymptomatic periods between subacute obstructive episodes and do not need ongoing medical treatment.[9]
CIPO sufferers often require complete parenteral nutrition due to their debilitating symptoms. Nutrition deficiency affects up to two-thirds of CIPO patients, with 30%-50% of adults requiring parenteral nutrition (PN) at some point.[9][10][8]
The long-term prognosis for patients with CIPO is dismal. Chronic abdominal discomfort can lead to opiate dependence for many patients.[27] In a long-term study of 59 patients with CIPO, 4 died from disease-related complications and 4 had small bowel transplant.[10] Pediatric CIPO patients have a mortality rate ranging from 10% to 25% before reaching adulthood.[35][36]
Epidemiology
CIPO is a rare condition, hence specific information about its incidence and prevalence is unclear.[27] According to a pediatric tertiary care institution, roughly 100 infants are born with CIPO each year in the US.[37] This statistic does not accurately reflect the prevalence of CIPO because it excludes patients who develop it later in life.[27] A review of 378 institutions by the Japanese Society of Gastroenterology found only 160 cases with suspected CIPO, with 138 (86.3%) meeting the rigorous criteria.[38] Research indicates that females are more likely than males to experience CIPO, as seen by published adult patient studies.[10][8]
See also
References
- 1 2 3 4 5 "UpToDate". UpToDate. Retrieved 2024-04-14.
- ↑ "UpToDate". UpToDate. Retrieved 2024-04-14.
- 1 2 3 4 5 6 7 Panganamamula, Kashyap V.; Parkman, Henry P. (2005). "Chronic intestinal pseudo-obstruction". Current Treatment Options in Gastroenterology. 8 (1): 3–11. doi:10.1007/s11938-005-0046-4. ISSN 1092-8472. PMID 15625029.
- ↑ Cleveland Clinic medical professional (2023-03-08). "What Is Ogilvie Syndrome (Acute Colonic Pseudo-Obstruction)?". Cleveland Clinic. Retrieved 2024-04-15.
- 1 2 3 4 Giorgio, R De; Sarnelli, G; Corinaldesi, R; Stanghellini, V (2004). "Advances in our understanding of the pathology of chronic intestinal pseudo-obstruction". Gut. 53 (11). BMJ Publishing Group: 1549–1552. doi:10.1136/gut.2004.043968. PMC 1774265. PMID 15479666.
- ↑ V, Stanghellini; M, Camilleri; JR, Malagelada (1987). "Chronic idiopathic intestinal pseudo-obstruction: clinical and intestinal manometric findings". Gut. 28 (1): 5–12. doi:10.1136/gut.28.1.5. ISSN 0017-5749. PMC 1432727. PMID 3817584.
- ↑ Camilleri, Michael; Chedid, Victor; Ford, Alexander C.; Haruma, Ken; Horowitz, Michael; Jones, Karen L.; Low, Phillip A.; Park, Seon-Young; Parkman, Henry P.; Stanghellini, Vincenzo (2018-11-01). "Gastroparesis". Nature Reviews Disease Primers. 4 (1): 41. doi:10.1038/s41572-018-0038-z. ISSN 2056-676X. PMID 30385743. Retrieved December 30, 2023.
- 1 2 3 G, Lindberg; M, Iwarzon; H, Tornblom (2009). "Clinical features and long-term survival in chronic intestinal pseudo-obstruction and enteric dysmotility". Scandinavian Journal of Gastroenterology. 44 (6). Scand J Gastroenterol: 692–699. doi:10.1080/00365520902839642. ISSN 1502-7708. PMID 19308797. Retrieved December 30, 2023.
- 1 2 3 SD, Mann; HS, Debinski; MA, Kamm (1997). "Clinical characteristics of chronic idiopathic intestinal pseudo-obstruction in adults". Gut. 41 (5): 675–681. doi:10.1136/gut.41.5.675. ISSN 0017-5749. PMC 1891582. PMID 9414977.
- 1 2 3 4 V, Stanghellini; RF, Cogliandro; R, De Giorgio; G, Barbara; AM, Morselli-Labate; L, Cogliandro; R, Corinaldesi (2005). "Natural history of chronic idiopathic intestinal pseudo-obstruction in adults: a single center study". Clinical Gastroenterology and Hepatology. 3 (5). Clin Gastroenterol Hepatol: 449–458. doi:10.1016/s1542-3565(04)00675-5. ISSN 1542-3565. PMID 15880314. Retrieved December 30, 2023.
- ↑ Besnard, M.; Faure, C.; Fromont-Hankard, G.; Ansart-Pirenne, H.; Peuchmaur, M.; Cezard, J.P.; Navarro, J. (2000). "Intestinal pseudo-obstruction and acute pandysautonomia associated with epstein-barr virus infection". The American Journal of Gastroenterology. 95 (1). Ovid Technologies (Wolters Kluwer Health): 280–284. doi:10.1111/j.1572-0241.2000.01709.x. ISSN 0002-9270. PMID 10638598.
- ↑ Debinski, H S; Kamm, M A; Talbot, I C; Khan, G; Kangro, H O; Jeffries, D J (July 1, 1997). "DNA viruses in the pathogenesis of sporadic chronic idiopathic intestinal pseudo-obstruction". Gut. 41 (1). BMJ: 100–106. doi:10.1136/gut.41.1.100. ISSN 0017-5749. PMC 1027236. PMID 9274480.
- ↑ Sodhi, N.; Camilleri, M.; Camoriano, J. K.; Low, P. A.; Fealey, R. D.; Perry, M. C. (1989). "Autonomic function and motility in intestinal pseudoobstruction caused by paraneoplastic syndrome". Digestive Diseases and Sciences. 34 (12). Springer Science and Business Media LLC: 1937–1942. doi:10.1007/bf01536716. ISSN 0163-2116. PMID 2557192.
- ↑ Stanghellini, Vincenzo; Corinaldesi, Roberto; Barbara, Luigi (1988). "12 Pseudo-obstruction syndromes". Baillière's Clinical Gastroenterology. 2 (1). Elsevier BV: 225–254. doi:10.1016/0950-3528(88)90029-2. ISSN 0950-3528. PMC 7135556. PMID 3289641.
- ↑ De Giorgio, R.; Camilleri, M. (July 22, 2004). "Human enteric neuropathies: morphology and molecular pathology". Neurogastroenterology & Motility. 16 (5). Wiley: 515–531. doi:10.1111/j.1365-2982.2004.00538.x. ISSN 1350-1925. PMID 15500508.
- ↑ r. De Giorgio, v. Stanghellini, g.; Stanghellini, V.; Barbara, G.; Corinaldesi, R.; De Ponti, F.; Tonini, M.; Bassotti, G.; Sternini, C. (2000). "Primary Enteric Neuropathies Underlying Gastrointestinal Motor Dysfunction". Scandinavian Journal of Gastroenterology. 35 (2). Informa UK Limited: 114–122. doi:10.1080/003655200750024263. ISSN 0036-5521. PMID 10720107.
{{cite journal}}: CS1 maint: multiple names: authors list (link) - 1 2 De Giorgio, Roberto; Cogliandro, Rosanna F.; Barbara, Giovanni; Corinaldesi, Roberto; Stanghellini, Vincenzo (2011). "Chronic Intestinal Pseudo-Obstruction: Clinical Features, Diagnosis, and Therapy". Gastroenterology Clinics of North America. 40 (4). Elsevier BV: 787–807. doi:10.1016/j.gtc.2011.09.005. ISSN 0889-8553. PMID 22100118.
- ↑ De Giorgio, R.; Guerrini, S.; Barbara, G.; Cremon, C.; Stanghellini, V.; Corinaldesi, R. (2004). "New insights into human enteric neuropathies". Neurogastroenterology & Motility. 16 (s1). Wiley: 143–147. doi:10.1111/j.1743-3150.2004.00491.x. ISSN 1350-1925. PMID 15066021.
- 1 2 Gershon, Michael D.; Nakamura, Hiroki (2019). "Functional Anatomy of the Enteric Nervous System". Hirschsprung's Disease and Allied Disorders. Cham: Springer International Publishing. pp. 31–76. doi:10.1007/978-3-030-15647-3_3. ISBN 978-3-030-15646-6.
- ↑ Hall, Karen E.; Wiley, John W. (1998-06-01). "I. New insights into neuronal injury: a cautionary tale". American Journal of Physiology. Gastrointestinal and Liver Physiology. 274 (6). American Physiological Society: G978 – G983. doi:10.1152/ajpgi.1998.274.6.g978. ISSN 0193-1857. PMID 9696720.
- ↑ Boeckxstaens, Guy E.; Rumessen, Juri J.; Wit, Laurens; Tytgat, Guido N.J.; Vanderwinden, Jean-Marie (2002). "Abnormal distribution of the interstitial cells of Cajal in an adult patient with pseudo-obstruction and megaduodenum". The American Journal of Gastroenterology. 97 (8). Ovid Technologies (Wolters Kluwer Health): 2120–2126. doi:10.1111/j.1572-0241.2002.05932.x. ISSN 0002-9270. PMID 12190188.
- ↑ Huizinga, J.D.; Thuneberg, L.; Vanderwinden, J-M.; Rumessen, J.J. (1997). "Interstitial cells of Cajal as targets for pharmacological intervention in gastrointestinal motor disorders". Trends in Pharmacological Sciences. 18 (10). Elsevier BV: 393–403. doi:10.1016/s0165-6147(97)01108-5. ISSN 0165-6147. PMID 9357324.
- ↑ Ward, Sean M.; Sanders, Kenton M. (2001-09-01). "I. Functional development and plasticity of interstitial cells of Cajal networks". American Journal of Physiology. Gastrointestinal and Liver Physiology. 281 (3). American Physiological Society: G602 – G611. doi:10.1152/ajpgi.2001.281.3.g602. ISSN 0193-1857. PMID 11518672.
- 1 2 Antonucci, Alexandra; Fronzoni, Lucia; Cogliandro, Laura; Cogliandro, Rosanna F; Caputo, Carla; Giorgio, Roberto De; Pallotti, Francesca; Barbara, Giovanni; Corinaldesi, Roberto; Stanghellini, Vincenzo (2008). "Chronic intestinal pseudo-obstruction". World Journal of Gastroenterology. 14 (19). Baishideng Publishing Group Inc.: 2953–2961. doi:10.3748/wjg.14.2953. ISSN 1007-9327. PMC 2712158. PMID 18494042.
- 1 2 Downes, Thomas J.; Cheruvu, Manikandar S.; Karunaratne, Tennekoon B.; De Giorgio, Roberto; Farmer, Adam D. (2018). "Pathophysiology, Diagnosis, and Management of Chronic Intestinal Pseudo-Obstruction". Journal of Clinical Gastroenterology. 52 (6): 477–489. doi:10.1097/MCG.0000000000001047. ISSN 0192-0790. PMID 29877952.
- ↑ Merlin, Aurélie; Soyer, Philippe; Boudiaf, Mourad; Hamzi, Lounis; Rymer, Roland (2008-03-21). "Chronic intestinal pseudo-obstruction in adult patients: multidetector row helical CT features". European Radiology. 18 (8). Springer Science and Business Media LLC: 1587–1595. doi:10.1007/s00330-008-0913-1. ISSN 0938-7994. PMID 18357454.
- 1 2 3 4 5 6 7 8 9 Gabbard, Scott L.; Lacy, Brian E. (2013). "Chronic Intestinal Pseudo-Obstruction". Nutrition in Clinical Practice. 28 (3): 307–316. doi:10.1177/0884533613485904. ISSN 0884-5336. PMID 23612903.
- ↑ Attar, Alain; Kuoch, Viseth; Ducreux, Michel; Benamouzig, Robert; Malka, David (2005). "Simultaneous decompression colonoscopy and radiologic G-tube insertion in a patient with megacolon because of chronic colonic pseudo-obstruction". Gastrointestinal Endoscopy. 62 (6). Elsevier BV: 975–976. doi:10.1016/j.gie.2005.06.058. ISSN 0016-5107. PMID 16301047.
- ↑ De Giorgio, Roberto; Guerrini, Stefania; Barbara, Giovanni; Stanghellini, Vincenzo; De Ponti, Fabrizio; Corinaldesi, Roberto; Moses, Peter L; Sharkey, Keith A; Mawe, Gary M (2004). "Inflammatory neuropathies of the enteric nervous system☆". Gastroenterology. 126 (7). Elsevier BV: 1872–1883. doi:10.1053/j.gastro.2004.02.024. ISSN 0016-5085. PMID 15188182.
- ↑ Hubball, Andrew; Martin, Joanne E.; Lang, Bethan; De Giorgio, Roberto; Knowles, Charles H. (2009). "The role of humoral autoimmunity in gastrointestinal neuromuscular diseases". Progress in Neurobiology. 87 (1). Elsevier BV: 10–20. doi:10.1016/j.pneurobio.2008.09.011. ISSN 0301-0082. PMID 18929621.
- ↑ Hyman, Paul E.; McDiarmid, Sue V.; Napolitano, Judy; Abrams, Candy E.; Tomomasa, Takeshi (1988). "Antroduodenal motility in children with chronic intestinal pseudo-obstruction". The Journal of Pediatrics. 112 (6). Elsevier BV: 899–905. doi:10.1016/s0022-3476(88)80211-7. ISSN 0022-3476. PMID 3373394.
- ↑ Connor, Frances L.; Di Lorenzo, Carlo (2006). "Chronic Intestinal Pseudo-obstruction: Assessment and Management". Gastroenterology. 130 (2). Elsevier BV: S29 – S36. doi:10.1053/j.gastro.2005.06.081. ISSN 0016-5085. PMID 16473068.
- ↑ Scolapio, J. S.; Ukleja, A.; Bouras, E. P.; Romano, M. (1999). "Nutritional Management of Chronic Intestinal Pseudo-Obstruction". Journal of Clinical Gastroenterology. 28 (4). Ovid Technologies (Wolters Kluwer Health): 306–312. doi:10.1097/00004836-199906000-00005. ISSN 0192-0790. PMID 10372926.
- 1 2 Amiot, Aurelien; Joly, Francisca; Alves, Arnaud; Panis, Yves; Bouhnik, Yoram; Messing, Bernard (2009-04-14). "Long-Term Outcome of Chronic Intestinal Pseudo-Obstruction Adult Patients Requiring Home Parenteral Nutrition". The American Journal of Gastroenterology. 104 (5). Ovid Technologies (Wolters Kluwer Health): 1262–1270. doi:10.1038/ajg.2009.58. ISSN 0002-9270. PMID 19367271.
- ↑ Mousa, Hayat; Hyman, Paul E.; Cocjin, Jose; Flores, Alejandro F.; Di Lorenzo, Carlo (2002). "Long-term outcome of congenital intestinal pseudoobstruction". Digestive Diseases and Sciences. 47 (10). Springer Science and Business Media LLC: 2298–2305. doi:10.1023/a:1020199614102. ISSN 0163-2116. PMID 12395903.
- ↑ Lauro, A.; Zanfi, C.; Ercolani, G.; Dazzi, A.; Golfieri, L.; Amaduzzi, A.; Pezzoli, F.; Grazi, G.L.; Vivarelli, M.; Cescon, M.; Varotti, G.; Del Gaudio, M.; Ravaioli, M.; Cucchetti, A.; La Barba, G.; Zanello, M.; Vetrone, G.; Tuci, F.; Catena, F.; Ramacciato, G.; Pironi, L.; Pinna, A.D. (2007). "Italian Experience in Adult Clinical Intestinal and Multivisceral Transplantation: 6 Years Later". Transplantation Proceedings. 39 (6). Elsevier BV: 1987–1991. doi:10.1016/j.transproceed.2007.05.077. ISSN 0041-1345. PMID 17692673.
- ↑ Lorenzo, Carlo Di (1999). "Pseudo-obstruction: Current approaches". Gastroenterology. 116 (4): 980–987. doi:10.1016/S0016-5085(99)70082-X. PMID 10092321.
- ↑ Ohkubo, Hidenori; Iida, Hiroshi; Takahashi, Hirokazu; Yamada, Eiji; Sakai, Eiji; Higurashi, Takuma; Sekino, Yusuke; Endo, Hiroki; Sakamoto, Yasunari; Inamori, Masahiko; Sato, Hajime; Fujimoto, Kazuma; Nakajima, Atsushi (2012). "An Epidemiologic Survey of Chronic Intestinal Pseudo-Obstruction and Evaluation of the Newly Proposed Diagnostic Criteria". Digestion. 86 (1). S. Karger AG: 12–19. doi:10.1159/000337528. ISSN 0012-2823. PMID 22710349.
Further reading
- Stanghellini, V.; Cogliandro, R. F.; De Giorgio, R.; Barbara, G.; Salvioli, B.; Corinaldesi, R. (2007). "Chronic intestinal pseudo-obstruction: manifestations, natural history and management". Neurogastroenterology & Motility. 19 (6): 440–452. doi:10.1111/j.1365-2982.2007.00902.x. ISSN 1350-1925. PMID 17564625.
- El-Chammas, Khalil; Sood, Manu (2018). "Chronic Intestinal Pseudo-obstruction". Clinics in Colon and Rectal Surgery. 31 (2): 099–107. doi:10.1055/s-0037-1609024. ISSN 1531-0043. PMC 5825855. PMID 29487492.
- Di Nardo, G.; Di Lorenzo, C.; Lauro, A.; Stanghellini, V.; Thapar, N.; Karunaratne, T. B.; Volta, U.; De Giorgio, R. (2017). "Chronic intestinal pseudo-obstruction in children and adults: diagnosis and therapeutic options". Neurogastroenterology & Motility. 29 (1). doi:10.1111/nmo.12945. hdl:11392/2375096. ISSN 1350-1925. PMID 27683196.
- Cogliandro, Rosanna F.; De Giorgio, Roberto; Barbara, Giovanni; Cogliandro, Laura; Concordia, Alessandra; Corinaldesi, Roberto; Stanghellini, Vincenzo (2007). "Chronic intestinal pseudo-obstruction". Best Practice & Research Clinical Gastroenterology. 21 (4). Elsevier BV: 657–669. doi:10.1016/j.bpg.2007.03.002. ISSN 1521-6918. PMID 17643907.
