Merocrine
| Exocrine secretion |
| Merocrine or eccrine – by exocytosis |
| Apocrine – by membrane budding (loss of cytoplasm) |
| Holocrine – by membrane rupture |

Merocrine secretion

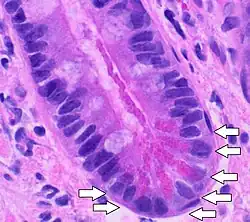
Paneth cells, located at the base of the crypts of the small intestinal mucosa, and displaying merocrine secretion of bright red cytoplasmic granules. H&E stain.
Merocrine (or eccrine) is a term used to classify exocrine glands and their secretions in the study of histology. A cell is classified as merocrine if the secretions of that cell are excreted via exocytosis from secretory cells into an epithelial-walled duct or ducts and then onto a bodily surface or into the lumen.
Merocrine is the most common manner of secretion. The gland releases its product and no part of the gland is lost or damaged (compare holocrine and apocrine).
The term eccrine is specifically used to designate merocrine secretions from sweat glands (eccrine sweat glands),[1] although the term merocrine is often used interchangeably.[2][3]
Examples
- Salivary glands – Exocrine glands that produce saliva through a system of ducts
- Pancreatic glands – Organ of the digestive system and endocrine system of vertebrates
- Paneth cells of the intestine[4]
- Certain sweat glands
References
- ↑ Eccrine and Apocrine Glands Archived 2009-04-05 at the Wayback Machine Donald J. Baker, M.D., and Warren R. Heymann, M.D. American Academy of Dermatology. Retrieved on April 18, 2010
- ↑ Melo, Angel I.; González-Mariscal, Gabriela (2010-01-01), Litwack, Gerald (ed.), "Chapter Fifteen - Communication by Olfactory Signals in Rabbits: Its Role in Reproduction", Vitamins & Hormones, Pheromones, 83, Academic Press: 351–371, doi:10.1016/s0083-6729(10)83015-8, PMID 20831954, retrieved 2020-10-23
- ↑ Lombardini, Eric D.; Pacheco-Thompson, Michelle E.; Melanson, Mark A. (2013-01-01), Haschek, Wanda M.; Rousseaux, Colin G.; Wallig, Matthew A. (eds.), "Chapter 44 - Radiation and Other Physical Agents", Haschek and Rousseaux's Handbook of Toxicologic Pathology (Third Edition), Boston: Academic Press, pp. 1421–1503, doi:10.1016/b978-0-12-415759-0.00044-3, ISBN 978-0-12-415759-0, retrieved 2020-10-23
- ↑ Matsubara F (1977). "Morphological study of the Paneth cell. Paneth cells in intestinal metaplasia of the stomach and duodenum of man". Acta Pathol Jpn. 27 (5): 677–95. doi:10.1111/j.1440-1827.1977.tb00185.x. PMID 930588.
External links
This article is issued from Wikipedia. The text is licensed under Creative Commons - Attribution - Sharealike. Additional terms may apply for the media files.