Odontogenic sinusitis

Odontogenic sinusitis is a type of sinusitis (inflammation of the sinuses), specifically caused by dental infections or procedures.[1] Comprising approximately 10-12% of all chronic sinusitis cases, this condition primarily affects the maxillary sinus, which is in close proximity to the upper teeth.[2]
Etiology
Odontogenic sinusitis in considered a secondary type of sinusitis, as the infection does not start in the sinuses.[3] The etiology of odontogenic sinusitis is primarily related to dental infections or procedures. Preliminary studies suggest that odontogenic sinusitis has different biological mechanisms from acute or chronic rhinosinusitis.[4] Dental conditions such as gum disease, periapical abscesses, or tooth decay can lead to odontogenic sinusitis. Similarly, dental procedures such as tooth extractions, implant placement, or root canal treatments, particularly if they involve the posterior maxillary teeth, can also cause this condition.[5][6] Microbiological studies have also determined that anaerobic bacteria are more frequently involved in odontogenic sinusitis cases than in classic acute or chronic rhinosinusitis cases.[7][8]
Clinical presentation
Patients with odontogenic sinusitis may present with symptoms similar to those of other forms of sinusitis, such as nasal congestion, purulent nasal discharge, facial pain or pressure, and a reduced sense of smell. However, the presence of dental pain, foul smell, or a history of recent dental procedure might suggest an odontogenic source. Often, the condition is unilateral, affecting only the side where the dental problem exists,[9] though it is not uncommon for infectious process to progressively spread from the maxillary sinus to the other sinuses and the opposite side.[10]
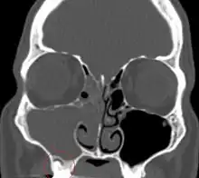
Diagnosis
The diagnosis of odontogenic sinusitis is often challenging and requires a multidisciplinary approach involving otolaryngologists and dental specialists. Clinical examination and patient history play a crucial role.[11] Radiological investigation, including dental panoramic radiographs, computed tomography scans, and cone-beam computed tomography can help visualize the relationship between the maxillary sinuses and the dental structures, identify dental pathologies, and assess the extent of sinus involvement.[1]
Treatment
The treatment of odontogenic sinusitis involves addressing the underlying dental condition and managing the sinus inflammation. This may include dental procedures such as root canal treatment, tooth extraction, or periodontal therapy. Antibiotics, nasal corticosteroids, and nasal irrigation may be used to control symptoms, though their role in definitive treatment is still unclear. In some cases, endoscopic sinus surgery may be required, particularly if medical management fails or if there is a complication to the eye or intracranial structures.[12]
Prognosis
With appropriate treatment, the prognosis for odontogenic sinusitis is generally good. However, if left untreated or not properly managed, complications can occur. These include extension of the infection to other sinuses, the orbit, or the intracranial structures,[13] or expose the patient to symptoms progression which can significantly affect quality of life.[14]
Epidemiology
Odontogenic sinusitis is estimated to account for 10-12% of all cases of chronic sinusitis. It can occur at any age but is more common in adults due to the higher prevalence of periodontal disease and dental procedures. There is no known gender predilection for this condition.[15]
Research directions
Current research on odontogenic sinusitis is focused on improving diagnostic methods, understanding the microbiology of the condition, and optimizing treatment strategies.[1] The role of novel technologies such as the use of artificial intelligence in managing such conditions is also being explored[16]
See also
References
- 1 2 3 Craig, John R.; Poetker, David M.; Aksoy, Umut; Allevi, Fabiana; Biglioli, Federico; Cha, Bruce Y.; Chiapasco, Matteo; Lechien, Jerome R.; Safadi, Ahmad; Simuntis, Regimantas; Tataryn, Roderick; Testori, Tiziano; Troeltzsch, Matthias; Vaitkus, Saulius; Yokoi, Hidenori (2021). "Diagnosing odontogenic sinusitis: An international multidisciplinary consensus statement". International Forum of Allergy & Rhinology. 11 (8): 1235–1248. doi:10.1002/alr.22777. hdl:2027.42/168522. ISSN 2042-6976. PMID 33583151.
- ↑ Craig, John R. (2022). "Odontogenic sinusitis: A state-of-the-art review". World Journal of Otorhinolaryngology - Head and Neck Surgery. 8 (1): 8–15. doi:10.1002/wjo2.9. ISSN 2095-8811. PMC 9126162. PMID 35619928.
- ↑ Grayson, Jessica W.; Hopkins, Claire; Mori, Eri; Senior, Brent; Harvey, Richard J. (2020-09-01). "Contemporary Classification of Chronic Rhinosinusitis Beyond Polyps vs No Polyps: A Review". JAMA Otolaryngology–Head & Neck Surgery. 146 (9): 831–838. doi:10.1001/jamaoto.2020.1453. ISSN 2168-6181. PMID 32644117.
- ↑ Craig, John R.; Dai, Xiangguo; Bellemore, Stacey; Woodcroft, Kimberley J.; Wilson, Carl; Keller, Christian; Bobbitt, Kevin R.; Ramesh, Mayur (2023). "Inflammatory endotype of odontogenic sinusitis". International Forum of Allergy & Rhinology. 13 (6): 998–1006. doi:10.1002/alr.23099. ISSN 2042-6976. PMID 36308740.
- ↑ Felisati, Giovanni; Chiapasco, Matteo; Lozza, Paolo; Saibene, Alberto Maria; Pipolo, Carlotta; Zaniboni, Marco; Biglioli, Federico; Borloni, Roberto (2013). "Sinonasal Complications Resulting from Dental Treatment: Outcome-Oriented Proposal of Classification and Surgical Protocol". American Journal of Rhinology & Allergy. 27 (4): e101 – e106. doi:10.2500/ajra.2013.27.3936. ISSN 1945-8924. PMID 23883801.
- ↑ Molteni, Marco; Bulfamante, Antonio Mario; Pipolo, Carlotta; Lozza, Paolo; Allevi, Fabiana; Pisani, Antonia; Chiapasco, Matteo; Portaleone, Sara Maria; Scotti, Alberto; Maccari, Alberto; Borloni, Roberto; Felisati, Giovanni; Saibene, Alberto Maria (2020). "Odontogenic sinusitis and sinonasal complications of dental treatments: a retrospective case series of 480 patients with critical assessment of the current classification". Acta Otorhinolaryngologica Italica. 40 (4): 282–289. doi:10.14639/0392-100X-N0457. ISSN 1827-675X. PMC 7586196. PMID 33100340.
- ↑ Saibene, Alberto Maria; Vassena, Christian; Pipolo, Carlotta; Trimboli, Mariele; De Vecchi, Elena; Felisati, Giovanni; Drago, Lorenzo (January 2016). "Odontogenic and rhinogenic chronic sinusitis: a modern microbiological comparison: Odonto- and rhinogenic sinusitis microbiology". International Forum of Allergy & Rhinology. 6 (1): 41–45. doi:10.1002/alr.21629. PMID 26345711.
- ↑ Yassin-Kassab, Abdulkader; Bhargava, Pallavi; Tibbetts, Robert J.; Griggs, Zachary H.; Peterson, Edward I.; Craig, John R. (2021). "Comparison of bacterial maxillary sinus cultures between odontogenic sinusitis and chronic rhinosinusitis". International Forum of Allergy & Rhinology. 11 (1): 40–47. doi:10.1002/alr.22627. ISSN 2042-6976. PMID 32656998.
- ↑ Goyal, Vinay K.; Ahmad, Abid; Turfe, Zaahir; Peterson, Edward I.; Craig, John R. (2021). "Predicting Odontogenic Sinusitis in Unilateral Sinus Disease: A Prospective, Multivariate Analysis". American Journal of Rhinology & Allergy. 35 (2): 164–171. doi:10.1177/1945892420941702. ISSN 1945-8924. PMID 32646233.
- ↑ Saibene, Alberto Maria; Pipolo, Giorgia Carlotta; Lozza, Paolo; Maccari, Alberto; Portaleone, Sara Maria; Scotti, Alberto; Borloni, Roberto; Messina, Francesco; Di Pasquale, Daniele; Felisati, Giovanni (2014). "Redefining boundaries in odontogenic sinusitis: a retrospective evaluation of extramaxillary involvement in 315 patients: Odontogenic sinusitis extramaxillary involvement". International Forum of Allergy & Rhinology. 4 (12): 1020–1023. doi:10.1002/alr.21400. PMID 25196643.
- ↑ Allevi, Fabiana; Fadda, Gian Luca; Rosso, Cecilia; Martino, Federica; Pipolo, Carlotta; Cavallo, Giovanni; Felisati, Giovanni; Saibene, Alberto Maria (2021). "Diagnostic Criteria for Odontogenic Sinusitis: A Systematic Review". American Journal of Rhinology & Allergy. 35 (5): 713–721. doi:10.1177/1945892420976766. ISSN 1945-8924. PMID 33236664.
- ↑ Craig, John R.; Tataryn, Roderick W.; Aghaloo, Tara L.; Pokorny, Alan T.; Gray, Stacey T.; Mattos, Jose L.; Poetker, David M. (2020). "Management of odontogenic sinusitis: multidisciplinary consensus statement". International Forum of Allergy & Rhinology. 10 (7): 901–912. doi:10.1002/alr.22598. ISSN 2042-6976. PMID 32506807.
- ↑ Craig, John R.; Cheema, Atif J.; Dunn, Raven T.; Vemuri, Swapna; Peterson, Edward L. (2022). "Extrasinus Complications From Odontogenic Sinusitis: A Systematic Review". Otolaryngology–Head and Neck Surgery. 166 (4): 623–632. doi:10.1177/01945998211026268. ISSN 0194-5998. PMID 34253072.
- ↑ Yassin-Kassab, Abdulkader; Peterson, Edward L.; Craig, John R. (2023). "Total times to treatment completion and clinical outcomes in odontogenic sinusitis". American Journal of Otolaryngology. 44 (4): 103921. doi:10.1016/j.amjoto.2023.103921. PMID 37187016.
- ↑ Mehra, Pushkar; Murad, Haitham (2004). "Maxillary sinus disease of odontogenic origin". Otolaryngologic Clinics of North America. 37 (2): 347–364. doi:10.1016/S0030-6665(03)00171-3. PMID 15064067.
- ↑ Bulfamante, Antonio Mario; Ferella, Francesco; Miller, Austin Michael; Rosso, Cecilia; Pipolo, Carlotta; Fuccillo, Emanuela; Felisati, Giovanni; Saibene, Alberto Maria (2023). "Artificial intelligence, machine learning, and deep learning in rhinology: a systematic review". European Archives of Oto-Rhino-Laryngology. 280 (2): 529–542. doi:10.1007/s00405-022-07701-3. ISSN 0937-4477. PMC 9849161. PMID 36260141.