Pyogenic liver abscess
| Pyogenic liver abscess | |
|---|---|
![]() | |
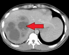
| A large pyogenic liver abscess presumed to be the result of appendicitis | |
| Specialty | Gastroenterology |
A pyogenic liver abscess is a type of liver abscess caused by bacteria.
Signs and symptoms
Acute abscess
- Fever
- Lethargy
- Discomfort in right upper quadrant of abdomen
- Anorexia
- Enlarged and tender liver
- Pleural effusion
Chronic abscess
- Fever
- Abdominal discomfort
- Enlarged liver
Cause
- Biliary disease (most common)
E.g.: stones, cholangiocarcinoma
- Colonic disease
E.g.: diverticulitis, appendicitis, Crohn's disease
- Cryptogenic disease
- Pancreatitis
- Infection of blood
- Intra-abdominal sepsis
- Infection of biliary system
- Traumatic introduction
E.g.: penetrating injury, iatrogenic (radiofrequency ablation)
Common bacterial causes
- Streptococcus milleri
- E. coli
- Streptococcus fecalis
- Klebsiella pneumoniae
- Proteus vulgaris
- Bacteroides
- Opportunistic pathogens (Staphylococcus)
Diagnosis
To differentiate pyogenic liver abscess from amoebic liver abscess, several features such as subjects with age more than 50 years with lungs involvement, multiple liver abscesses, with amoebic serologic titres less than 1:256 can help to pin down the diagnosis of pyogenic liver abscess.[1]
- Blood CP (no leucocytosis)
- Haemoglobin estimation (anaemia)
- Serum albumin levels (falls rapidly)
- USG and CT scanning
- Guided aspiration to confirm the diagnosis
Treatment
- Antibiotics
- Percutaneous drainage under USG or CT control
- Laparotomy in intra-abdominal disease
References
- ↑ Lodhi S, Sarwari AR, Muzammil M, Salam A, Smego RA (June 2004). "Features distinguishing amoebic from pyogenic liver abscess: a review of 577 adult cases". Tropical Medicine & International Health. 9 (6): 718–23. doi:10.1111/j.1365-3156.2004.01246.x. PMID 15189463. S2CID 12288711.
External links
This article is issued from Wikipedia. The text is licensed under Creative Commons - Attribution - Sharealike. Additional terms may apply for the media files.
