Trichilemmal carcinoma
| Trichilemmal carcinoma | |
|---|---|
| Other names | Tricholemmal carcinoma |
| Specialty | Oncology, dermatology |
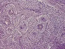
Trichilemmal carcinoma is a cutaneous condition reported to arise on sun-exposed areas, most commonly the face and ears.[1]: 674
See also
A similar tumor, although in the nail bed, is called onycholemmal.[2]
References
- ↑ James, William D.; Berger, Timothy G.; et al. (2006). Andrews' Diseases of the Skin: Clinical Dermatology. Saunders Elsevier. ISBN 0-7216-2921-0.
- ↑ Rashid, Rashid M.; Cutlan, Jonathan E. (2010). "Onycholemmal carcinoma". Dermatology Online Journal. 16 (3): 12. doi:10.5070/D31jn1d7z2. PMID 20233569.
External links
This article is issued from Wikipedia. The text is licensed under Creative Commons - Attribution - Sharealike. Additional terms may apply for the media files.