Angioleiomyoma
| Angioleiomyoma | |
|---|---|
| Other names | Angiomyoma, vascular leiomyoma |
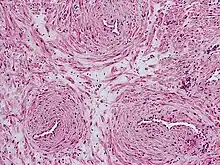
| Angioleiomyoma, smooth muscles encircling dilatated blood vessels | |
| Specialty | Oncology, rheumatology |
| Symptoms | Pain (with or without tenderness), slow-growing benign mass in the subcutaneous region of the extremities.[1] |
| Usual onset | Can occur at any age, with a peak in middle age.[2] |
| Causes | Unknown. |
| Differential diagnosis | Many, including ganglion cyst, traumatic neuroma, schwannoma, eccrine spiradenoma, angiolipoma, fibroma and synovial sarcoma. |
| Treatment | Surgical excision. |
| Frequency | Rare, more common in women. |
Angioleiomyoma (vascular leiomyoma, angiomyoma) of the skin is thought to arise from vascular smooth muscle, and is generally acquired.[3] Angioleiomyomas appear as small (<2 cm), firm, movable, slow growing subcutaneous nodules. Pain is a common symptom. They are most commonly seen on the extremities. The cause of angioleiomyoma is unknown.
Signs and symptoms
Angioleiomyomas present as solitary, small, slow-growing, firm, movable, subcutaneous nodules that typically measure less than 2 cm in size. Pain is the most obvious symptom of angioleiomyomas. Wind and cold exposure can set off paroxysmal episodes of pain. It is believed to be caused by smooth muscle contractions that are active and cause localized ischemia. It seems that rest is a relieving aspect.[4] Although this tumor can develop anywhere in the body, it usually first appears in the extremities, then the head and trunk. The lesion is usually located in the subcutis, however it can also appear in the dermis.[5]
Causes
The exact etiology of angioleiomyomas is yet unknown.[6] Aetiological aspects that have been suggested include minor trauma, venous stasis, and hormonal alterations, particularly those related to estrogen. The venous stasis idea is supported by the observation of chronic inflammatory cell infiltrates in certain lesions.[4] Angioleiomyomas have been linked to Epstein-Barr virus (EBV) infection in immunocompromised patients.[5]
Diagnosis
Histologically, angioleiomyomas have a unique pattern with several tiny vascular gaps surrounded by bundles of spindle-shaped smooth muscle cells.[7]
Angioleiomyoma appears to be benign on ultrasonography, with well-defined boundaries and a homogenous shape. High resistance in intratumour arteries is revealed by a color Doppler examination, indicating the existence of muscle arteries.[4]
Treatment
Angioleiomyoma are treated by surgical excisision.[5]
Epidemiology
Angioleiomyomas make around 5% of all benign soft tissue neoplasms.[4] They primarily afflict people in their third and fifth decades of life, and they are more common in women than in men.[8]
See also
References
- ↑
- Kumar, S.; Hasan, R.; Maddukuri, S. B.; Mathew, M. (2014-10-16). "Angiomyoma presenting as a painful subcutaneous mass: a diagnostic challenge". Case Reports. 2014 (oct16 1): bcr2014206606. doi:10.1136/bcr-2014-206606. ISSN 1757-790X. PMC 4202094. PMID 25323285.
- ↑
- Feger, Joachim (2021-02-08). "Angioleiomyoma". Radiopaedia.org. Radiopaedia.org. doi:10.53347/rid-86670.
- ↑ Freedberg, et al. (2003). Fitzpatrick's Dermatology in General Medicine. (6th ed.). Page 1033. McGraw-Hill. ISBN 0-07-138076-0.
- 1 2 3 4 Ramesh, P.; Annapureddy, S.R.; Khan, F.; Sutaria, P.D. (2004-06-24). "Angioleiomyoma: a clinical, pathological and radiological review". International Journal of Clinical Practice. 58 (6). Hindawi Limited: 587–591. doi:10.1111/j.1368-5031.2004.00085.x. ISSN 1368-5031. PMID 15311559.
- 1 2 3 Mocellin, Simone (2021). "Angioleiomyoma". Soft Tissue Tumors. Cham: Springer International Publishing. pp. 85–86. doi:10.1007/978-3-030-58710-9_20. ISBN 978-3-030-58709-3.
- ↑ Bernard, Mathilde; Le Nail, Louis-Romée; de Pinieux, Gonzague; Samargandi, Ramy (2024-03-04). "Angioleiomyoma: An Update with a 142-Case Series". Life. 14 (3). MDPI AG: 338. doi:10.3390/life14030338. ISSN 2075-1729. PMC 10971062. PMID 38541663.
- ↑ Szolomayer, Lauren K.; Talusan, Paul G.; Chan, Wayne F.; Lindskog, Dieter M. (2017). "Leiomyoma of the Foot and Ankle: A Case Series". Foot & Ankle Specialist. 10 (3): 270–273. doi:10.1177/1938640016670243. ISSN 1938-6400. PMID 27654461.
- ↑ KOGA, MIKIRO; NISHIO, JUN; KOGA, TAKAMASA; KOGA, KAORI; NAKAYAMA, SHIZUHIDE; YAMAMOTO, TAKUAKI (2023-03-03). "An Update on Clinicopathological, Imaging, and Genetic Features of Angioleiomyoma". Cancer Diagnosis & Prognosis. 3 (2). Anticancer Research USA Inc.: 145–150. doi:10.21873/cdp.10193. ISSN 2732-7787. PMC 9949533. PMID 36875312.
Further reading
- Giudice, Amerigo; Bennardo, Francesco; Buffone, Caterina; Brancaccio, Ylenia; Plutino, Francesca Maria; Fortunato, Leonzio (2019-02-27). "Clinical and Immunohistochemical Features of Oral Angioleiomyoma: A Comprehensive Review of the Literature and Report of a Case in a Young Patient". Case Reports in Dentistry. 2019. Hindawi Limited: 1–9. doi:10.1155/2019/2498353. ISSN 2090-6447. PMC 6415311. PMID 30937194.
- Bodapati, Venkata Soumya; Sunderamoorthy, Dakshinamurthy (2021-12-01). "Angioleiomyoma—rare soft tissue tumor of the foot and ankle, review of two patients and review of the literature". Journal of Surgical Case Reports. 2021 (12). Oxford University Press (OUP): rjab535. doi:10.1093/jscr/rjab535. ISSN 2042-8812. PMC 8666195. PMID 34909169.