Spindle cell lipoma
| Spindle cell lipoma | |
|---|---|
![]() | |
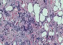
| Photomicrograph of a spindle cell lipoma. | |
| Specialty | Dermatology |
Spindle cell lipoma is an asymptomatic, slow-growing subcutaneous tumor that has a predilection for the posterior back, neck, and shoulders of older men.[1]: 625 [2]
Signs and symptoms
Spindle cell lipoma is most frequently located in the upper back, shoulder, or posterior neck subcutaneous layer.[3] Nonetheless, reports of it occurring in the mediastinum, hypopharynx, larynx, anterior neck, suprasellar region, esophagus, nasal vestibule, tongue, floor of mouth, vallecula, parotid gland, and breast have been made.[4] The tumor is said to have an average diameter of 4 to 5 cm and is growing slowly. Usually, the tumor is painless and solitary.[3] There have been documented rare instances of numerous lesions, including family occurrences.[5]
Causes
The exact cause of spindle cell lipoma is unknown.[3]
Diagnosis
The diagnosis of spindle cell lipoma is mainly made in conjunction with clinical presentation and after other malignant tumors have been ruled out using cytologic, histologic, and cytogenetic evidence.[6]
According to histology, the lesion is made up of tiny, homogeneous spindle cells and mature adipocytes combined with eosinophilic collagen bundles inside a myxoidstroma. According to immunohistochemical staining, the spindle cells are positive for CD34 but negative for S-100 protein.[3]
See also
References
- ↑ James, William; Berger, Timothy; Elston, Dirk (2005). Andrews' Diseases of the Skin: Clinical Dermatology. (10th ed.). Saunders. ISBN 0-7216-2921-0.
- ↑ Rapini, Ronald P.; Bolognia, Jean L.; Jorizzo, Joseph L. (2007). Dermatology: 2-Volume Set. St. Louis: Mosby. ISBN 978-1-4160-2999-1.
- 1 2 3 4 Seo, Bommie Florence; Kang, In Sook; Oh, Deuk Young (2014). "Spindle Cell Lipoma: A Rare, Misunderstood Entity". Archives of Craniofacial Surgery. 15 (2). Korean Cleft Palate-Craniofacial Association: 102–104. doi:10.7181/acfs.2014.15.2.102. ISSN 2287-1152. PMC 5556811. PMID 28913200.
- ↑ D'Antonio, Antonio; Mottola, Giampiero; Caleo, Alessia; Addesso, Maria; Boscaino, Amedeo (2013). "Spindle Cell Lipoma of the Larynx". Ear, Nose & Throat Journal. 92 (6). SAGE Publications: E9 – E11. doi:10.1177/014556131309200613. ISSN 0145-5613. PMID 23780614.
- ↑ Fanburg-Smith, Julie C.; Devaney, Kenneth O.; Miettinen, Markku; Weiss, Sharon W. (1998). "Multiple Spindle Cell Lipomas". The American Journal of Surgical Pathology. 22 (1). Ovid Technologies (Wolters Kluwer Health): 40–48. doi:10.1097/00000478-199801000-00005. ISSN 0147-5185. PMID 9422314.
- ↑ Machol, Jacques A.; Cusic, Jenna G.; OʼConnor, Elizabeth A.; Sanger, James R.; Matloub, Hani S. (2015). "Spindle Cell Lipoma of the Neck". Plastic and Reconstructive Surgery — Global Open. 3 (11). Ovid Technologies (Wolters Kluwer Health): e550. doi:10.1097/gox.0000000000000405. ISSN 2169-7574. PMC 4727702. PMID 26893975.
Further reading
- Meyer, Anders (2022). "The broadening spectrum of spindle cell lipoma and related tumors: A review". Human Pathology Reports. 28. Elsevier BV: 300646. doi:10.1016/j.hpr.2022.300646. ISSN 2772-736X.
- Ko, Jennifer S.; Daniels, Brianne; Emanuel, Patrick O.; Elson, Paul; Khachaturov, Vadim; McKenney, Jesse K.; Goldblum, John R.; Billings, Steven D. (2017). "Spindle Cell Lipomas in Women: A Report of 53 Cases". American Journal of Surgical Pathology. 41 (9): 1267–1274. doi:10.1097/PAS.0000000000000915. ISSN 0147-5185. PMID 28719462.
